Alluce valgo: riconoscimento e cura
L’Alluce valgo può portare a complicazioni ben più gravi. Identificalo e curalo con la chirurgia.
QUANDO:
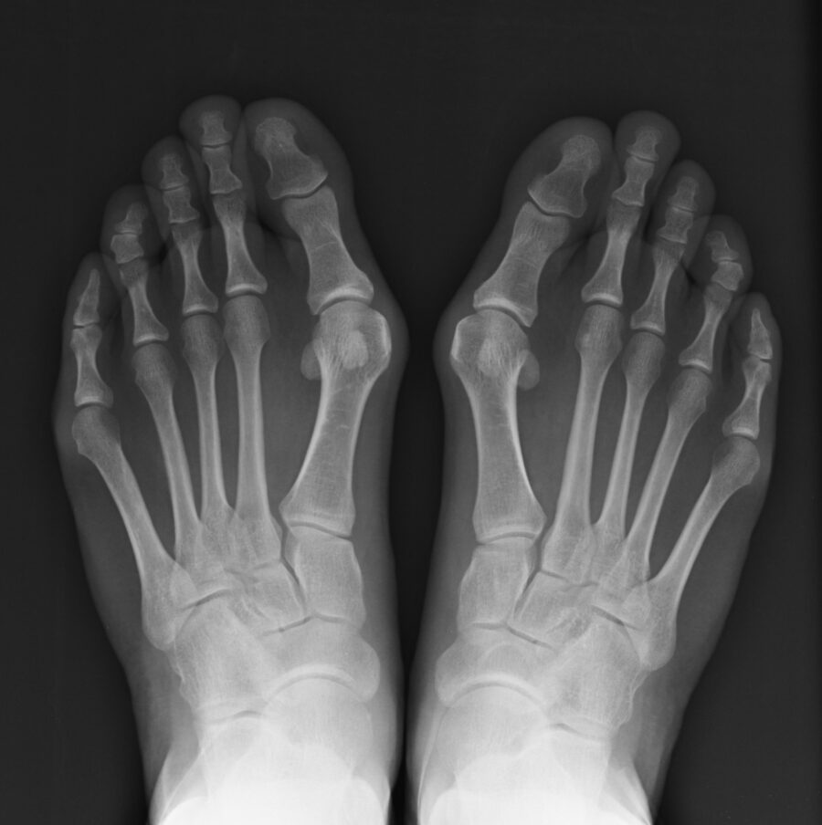
L’alluce valgo si presenta come una deformità del primo dito del piede (l’alluce appunto) che tende a deviare verso l’esterno, anziché proseguire in linea retta. Questa deformazione determina una lussazione delle piccole ossa che ospitano l’articolazione del dito alluce. Tale fenomeno è spesso accompagnato alla “cipolla”, un’infiammazione della parte interna del piede che si forma per via dello sfregamento contro la calzatura.
Oltre a lesioni cutanee e interessamento delle altre dita, l’alluce valgo può anche provocare disturbi alla schiena e alle ginocchia.
A CHI RIVOLGERSI:
Per questo motivo, non appena si nota l’insorgere della deformazione dell’alluce è opportuno rivolgersi ad un Medico Specializzato in Chirurgia del Piede per effettuare una visita.
CAUSE:
L’alluce valgo colpisce fino a 10 volte più le donne che gli uomini e spesso si manifesta in età senile. Le cause possono essere le seguenti:
- La cause primarie o congenite hanno matrice ereditaria e sviluppano il problema durante la crescita
- Le cause secondarie o acquisite dipendono da altre patologie e abitudini scorrette, come l’uso per lunghi periodo di tacchi eccessivamente alti (12-14cm), la presenza di traumi pregressi nel soggetto e l’abitudine a indossare calzature inadeguate.
TERAPIE:
Il rimedio al problema arriva ancora una volta dall’intervento chirurgico, che va ad agire sulle ossa dei piedi oppure sulle parti molli. Si dovrà comunque procedere all’intervento chirurgico SOLO DOPO il parere di uno specialista e a seguito di valutazioni radiografiche del piede in stato di carico, così da valutare la precisa deviazione del dito alluce.
Al Centro Specialistico San Martino di Vergiate (Varese) potrai trovare Specialisti in Ortopedia e Traumatologia, per la diagnosi dell’alluce valgo e di altre disfunzioni del piede e che potrà fornire indicazioni mirate alla soluzione al problema.
Contattaci per informazioni e/o appuntamento con i nostri professionisti nell’ambito dell’ortopedia. Inoltre potrai contattarci anche per una visione esami già in tuo possesso. Il tutto presso il Centro Specialistico San Martino in via Cavallotti 28 a Vergiate (Varese).
LA SALUTE È UN BENE PREZIOSO A CUI NESSUNO DEVE RINUNCIARE
N.B. Questo e tutti gli altri articoli presenti NON sostituiscono il parere del Medico.

