Fistole Anali Varese Vergiate – Dott. Tessera
Fistole anali: cosa sono e come si curano Fistole anali: identificazione del problema e cura con lo specialista proctologo Le fistole anali e perianali sono perlopiù la conseguenza di un ascesso perianale, causato dall’infiammazione acuta infettiva di una ghiandola del canale anale. La natura di questa infiammazione non è nota, anche se sembra facilitata da alcune concause (prolungata stazione seduta, soprattutto alla guida di automezzi, alimentazione ricca di spezie, ecc.). L’ascesso, raccolta di pus, evento assai doloroso, accompagnato da febbre, si evacua spontaneamente o grazie ad un intervento chirurgico di drenaggio. Le fistole anali e perianali rappresentano la fase cronica di tale infezione, con [...]
Condilomi anali Dr. Tessera
Condilomi anali: cause e cure al problema Condilomi anali: indaghiamo, sintomi e cure con l'ausilio del Dott. Tessera, medico colonproctologo. I condilomi anali sono escrescenze biancastre, peduncolate, che interessano la regione perianale, il canale anale e spesso anche i genitali esterni. I sintomi sono modesti: sanguinamento e bruciore spingono il paziente alla visita medica. I condilomi anali sono lesioni causate da un virus (Papillomavirus). La trasmissione del virus e quindi della malattia avviene per contatto diretto, spesso per via sessuale: perciò la presenza dei condilomi impone il controllo clinico anche del partner. Sono più a rischio di contrarre i condilomi anali la persone immunodepresse (soprattutto Aids), e [...]
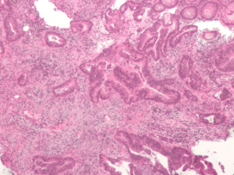
Carcinoma del retto Varese Vergiate – Dott. Tessera
Carcinoma del retto: prevenzione, diagnosi, terapia Carcinoma del retto: il punto sul problema da parte del Dott. Tessera, medico colonproctologo Il carcinoma del retto o cancro del retto, è un tumore maligno che origina spesso dalla degenerazione di un polipo, frequentemente senza sintomi. Prevenzione La prevenzione deve mirare ad individuare le lesioni in fase precoce, in particolare con la raccolta di una accurata anamnesi famigliare e personale dei fattori di rischio; con una visita completa proctologica; e con l’adesione alle campagne di screening presenti sul territorio volte alla ricerca del sangue occulto nelle feci. Diagnosi Sintomi: Il primo sintomo, [...]



